Considering dental implants in Lawrenceville GA?
Reach Dental is a one stop shop for implant dental services. This is a sharp contrast to many general dentists who refer their implant surgery patients to an entirely different dental office. It is comforting for the patient to know that I perform all surgical implant procedures for the benefit of the patient.
By being both surgeon and a restorative dentist, many of the problems associated with multiple doctor approach to dental care can be avoided. Patients find it very reassuring to know who exactly is responsible for all aspects of their dental treatment. Additionally, you will have the convenience of having all your work performed at one location, our state of the art dental facility, supported by a highly trained and caring staff.
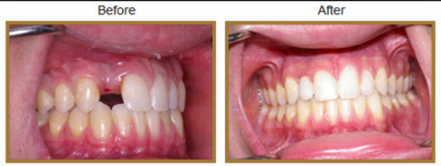
Dental Implants
Did you know that as many as 30 million Americans are missing all their top teeth, all their bottom teeth - or both?! This is a shocking number - especially when you consider how easy it is to get a modern denture with as few as 4 implants.
Modern Dentures Are Also An Option:
- Are easy to install and maintain, with a full “jaw replacement” requiring no more than 8-10 visits to the dentist.
- Function almost exactly like your natural teeth. The only thing they can’t do is sense temperature.
- Restore your appearance and prevent your jawbones from wasting.
- Let you live a happy, fully functional life with a full set of pearly whites!
The only question is, what type of denture should you opt for?
Fixed Denture
Fixed dentures replicate the look, feel and function of your regular teeth. They are attached to implants grafted directly onto your jaw. Since this kind of denture replicate the way a natural tooth is held in a jaw and the gums in your mouth, it’s probably the best-looking and best-feeling option. 4 implants are usually enough for a full set of teeth.
Partial Dentures
Partial dentures are held by your gums and your natural teeth. Compared to fixed dentures, they’re significantly less invasive to get because they don’t require implants to be grafted to your jaw. The downside of partial dentures is that they don’t feel quite as “normal” and natural once installed.
Denture Stabilization
Over time, dentures have a tendency to become less stable. Some of the materials used in them are semi-pliable, which means that they can shrink, enlarge and become misplaced over time. To make sure none of this threatens the looks and functionality of your dentures, it’s important to stabilize them from time to time. This will extend their lifespan and make sure they’re working correctly.
To learn more about dentures, and any of the other services on this page, simply give us a call at (770) 277-5588 . We’re always happy to offer a free quote and consultation.

Kia
Sandy
Jasmin